Dental Implants In Didsbury, Manchester.

Restore Your Smile with Pearl Smile

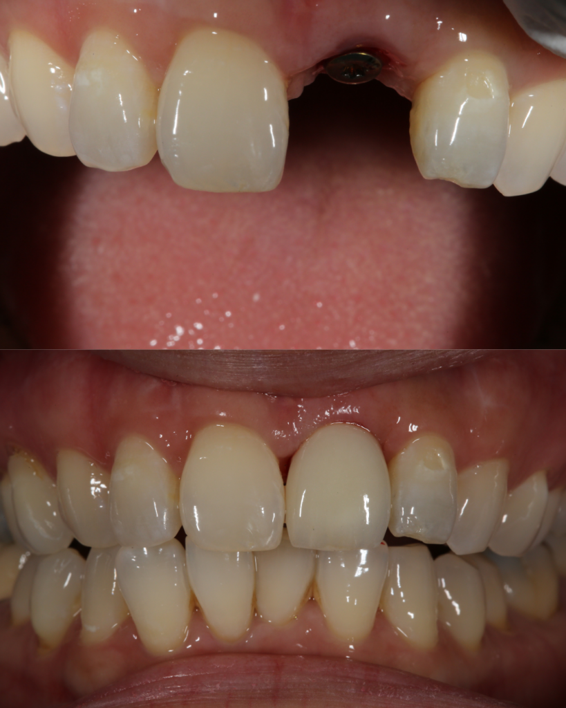
Missing teeth can affect more than just your appearance, they can impact your speech, chewing ability, and self-confidence. Dental Implants in Didsbury, Manchester at Pearl Smile, offer high-quality dental implant solutions designed to look, feel, and function like natural teeth. Whether you’re missing one tooth or several, our experienced team is here to help you regain a full, healthy smile.

Dental Implants from £104.17 per month*

*The total amount of Credit £1250. Total charge for credit £0.00. Total Amount Repayable £1250.00. Repayable by 12 monthly payments of £104.17. Representative 0% APR. Example based upon treatment costing £1250 repayable over 12 months. Acceptance is subject to status. Terms and conditions apply.

Dental Implants In Didsbury.

What are dental implants?

Dental implants are small titanium posts that act as artificial tooth roots. Once placed into the jawbone, they fuse with the bone over time, providing a strong and stable foundation for a crown, bridge, or denture. Implants are widely regarded as the most reliable and long-lasting solution for tooth loss.

Dental implant and natural teeth comparison
Dental Implants In Didsbury

Why Choose Dental Implants?

Expertise and Experience

Our team has extensive experience in placing and restoring implants, ensuring safe and effective treatment.

Personalised Approach

We understand that every smile is unique. We offer bespoke treatment plans to suit your oral health and aesthetic goals.

Advanced Technology

From 3D scans to precision-guided implant placement, we use modern techniques to improve comfort and accuracy.

Comprehensive Aftercare

We support you every step of the way, from initial consultation to post-treatment care.

Types of dental implants

Types of dental implants in Didsbury?

Image link
Single Implant + Crown
A permanent replacement for a single missing tooth, designed to look, feel, and function like a natural tooth, without affecting neighbouring teeth.
Image link
All On Four Implants
A full arch of fixed teeth supported by four strategically placed implants, offering a secure, long-term solution for extensive tooth loss.
Image link
All On Six Implants
Using six implants to support a full arch, this option provides enhanced strength, stability, and bite force for patients seeking maximum long-term support.
Image link
Implant Retained Denture
Dentures secured to dental implants for improved stability and comfort, while remaining removable — combining support with flexibility.
Thumbs up

Dental Implant Pricing

Dental implant costs vary depending on your oral health and how much bone support is available for the implant. After assessment, we’ll confirm an exact quote, but implants typically start from £2,500.

Meet our implant dentist, David.

David Veress is our visiting implant surgeon. In 2009, he completed a one-year postgraduate implant training under the mentorship of world-renowned implant surgeon Prof. Tatum Hilt. David made multiple trips to the United States in subsequent years, to further enhance his expertise in advanced implant and bone grafting procedures.

For a six year period he practiced as a part-time visiting implant surgeon at a prestigious clinic in Harley Street, London. Over the past 15 years he has dedicated his practice to implant and cosmetic dentistry, having successfully completed more than 2000 implant and graft procedures.

David’s expertise covers a wide range of procedures, including dental implants, bone augmentation, soft tissue grafting, sinus grafts, zygomatic implants, subperiosteal implants, guided surgery, partial extraction immediate implants, All-on-4 treatments, as well as complex restorative procedures.

FAQ's

Have a question about dental implants in Didsbury?

Dental implants are anchored directly into your jawbone, mimicking natural tooth roots. This fusion helps prevent bone loss and maintains facial structure—benefits that bridges or dentures can’t offer long-term.

Age isn’t a barrier—your bone health is. At Pearl Smile in Didsbury, Manchester, we assess bone density and overall oral health, not just age. Even if bone loss is present, we offer advanced bone grafting techniques to restore the foundation needed for successful implants. Many of our patients in their 60s, 70s, and beyond enjoy full implant restorations with excellent outcomes.

Surprisingly minimal. Most patients report less discomfort than a tooth extraction. With local anaesthesia and optional sedation available at our Didsbury clinic, we prioritise your comfort throughout the process.

The implant is placed in a single appointment, but the next few months are crucial behind the scenes. During this time—typically 3 to 6 months—the implant integrates naturally with your jawbone, creating a stable, long-lasting foundation. You won’t be in discomfort during this period, and temporary solutions are available to maintain your smile in the meantime.

Often, yes. If the bone and gum are healthy, a same-day implant might be viable. Our Didsbury-based implant dentist will evaluate your suitability with advanced imaging.

Not at all. We often treat patients with long-term tooth loss. In some cases, we’ll recommend bone grafting to rebuild lost volume, enabling successful implant placement.

Just like natural teeth—daily brushing, flossing, and regular dental check-ups. At Pearl Smile, we’ll also guide you through an implant-specific hygiene plan.

 

Absolutely. Each crown is custom-made to match the colour, shape, and size of your surrounding teeth, delivering a seamless, natural smile.

Think of them as a long-term investment in your health, confidence, and quality of life. Unlike cheaper alternatives, implants don’t need replacement every few years and help preserve your jawbone.

Dental implants involve precision surgery, premium biocompatible materials like titanium, and custom-crafted crowns—all designed to permanently integrate with your jawbone. This level of durability, function, and aesthetics naturally carries a higher initial cost than dentures. However, implants are a one-time investment that can last decades, often for life with proper care. In contrast, dentures typically need to be refitted or replaced every 5–8 years due to changes in jaw shape and wear. When you consider replacement costs, adjustments, adhesives, and the lifestyle compromises of dentures, implants often prove more cost-effective in the long run.

Days :
Hours :
Minutes :
Seconds

Who doesn't love a discount? %

Airflow (Stain Removal) + Hygiene for £99